Flatlands Family Dental

Tooth-Colored Fillings

What's In A Name?

Tooth-colored fillings, white fillings and composite resin fillings are all names for the high-strength, natural-looking fillings that can be placed today instead of silver or gold (also known as amalgam fillings). No matter what the name, Flatlands Family Dental will know just what you're talking about when referring to this natural-looking filling.

Call us at (718) 763-5200 or request an appointment online so we can discuss the benefits of white fillings and how they can help improve your smile.

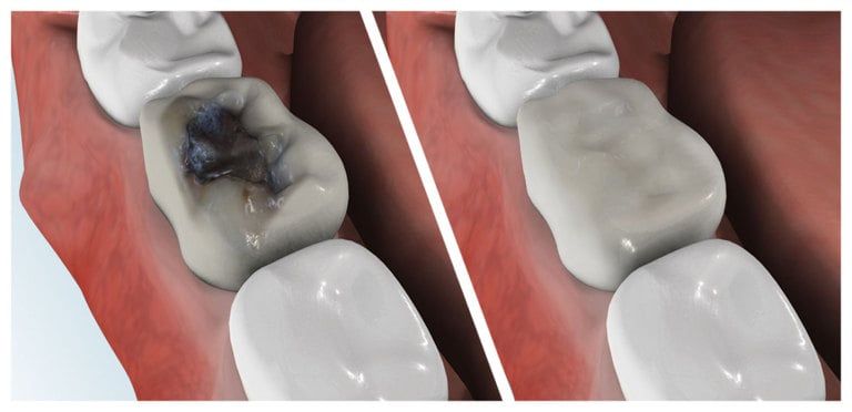
Composite Fillings or Tooth Colored Fillings

Strong and Natural Looking

White fillings are made from a high-strength composite resin that can be easily color-matched to your natural tooth making it nearly invisible to you and anyone else. Unlike silver and gold fillings, composite tooth-colored fillings actually bond to the tooth which means they support the surrounding tooth structure, which helps to prevent breakage and insulate the tooth from excessive temperature changes. You are much less likely to have a composite filling fall out which is a common issue with metal fillings.

Replacing Old Silver Or Gold Amalgam Fillings

Flatlands Family Dental specializes in beautiful cosmetic dentistry. Metal fillings are often thought of as an eyesore especially with the front teeth that are visible to everyone when you smile. We are able to remove those old metal fillings and replace them with today's white fillings which are nearly identical in color to the teeth that they are in.

Virtually everyone is a candidate to have metal fillings replaced with natural-looking white fillings. Request an appointment online or call our office directly at (718) 763-5200 to discuss replacing your old metal fillings with white ones.

A Beautiful Smile Is Waiting For You

Our office provides smile makeovers to achieve the beautiful, natural look you seek. We can reshape your natural teeth to make them straighter and more youthful. Our office is easily accessible and makes it convenient to those living near Brooklyn to get the care they deserve.

Book An Appointment Now
woman pointing to information

Book An Appointment Now

Do you need dental work done? Has it been a while since you've been to the dentist? Do you just need a regular cleaning or are you looking for a brand new smile? Requesting an appointment is available online 24/7 and is as simple as submitting a simple form.

Book An Appointment Now