Flatlands Family Dental

This Winter! Invisalign Is $4500

Invisalign is offering a series of promotions that we want to pass along to our patients.

Your initial consultation.

At your initial consultation, Your doctor will discuss your needs and evaluate whether Invisalign treatment is right for you.

If you do decide to move forward, your doctor will take impressions of your teeth to understand their shape and alignment.

Then Your doctor will map out a precise treatment plan, including the exact movements of your teeth and how long your treatment will be.

Did you know that the cost of Invisalign is comparable to the cost of traditional braces?

Orthodontic Insurance.

The cost of Invisalign clear aligners are similar to braces. Plus, orthodontic insurance may cover up to $3,500 of your treatment costs.

Your progress.

As you wear each set of aligners, your teeth will gently and gradually shift into place. Your doctor may recommend that you begin wearing a new set of aligners every week and schedule check-ups every six weeks or so.

At every stage you’ll be able to see your progress and imagine how far your new smile will take you.

Invisalign logo
YES! I would like to book an Invisalign consultation

Invisalign ClearAligners

Your custom-made aligners will be virtually invisible, so most people won't even notice you're wearing them during your teeth straightening.

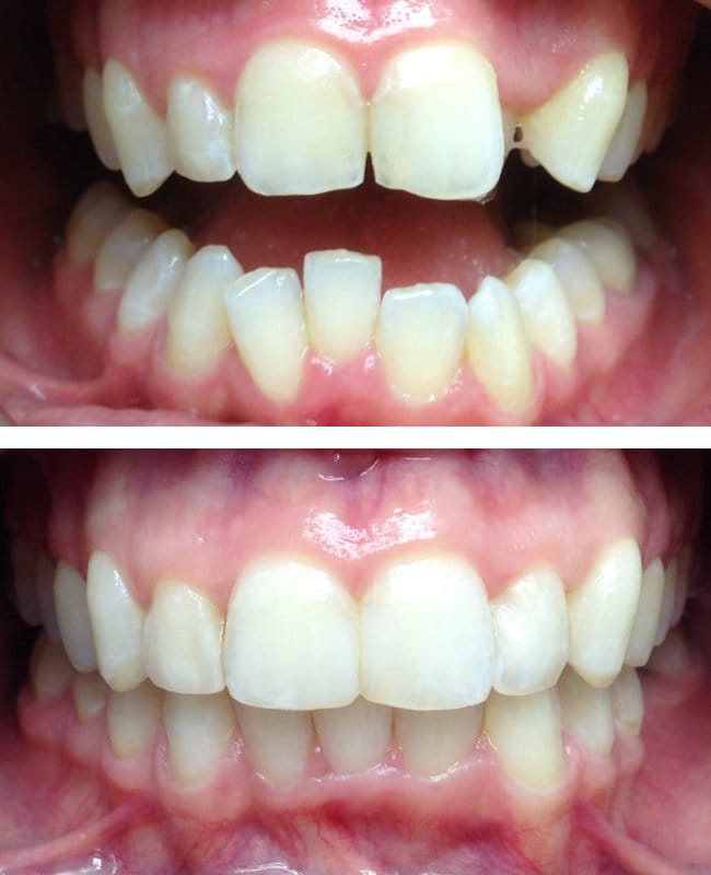
Have you dreamed of fixing that space between your two front teeth?
invisalign teeth case before and after

Problems that benefit from treatment with Invisalign:

  • Do you have difficulty in chewing or biting?
  • Do you have crowded, or misplaced teeth?
  • Does your jaw click?
  • Do you bite the cheek or roof of the mouth?
  • Do you have teeth that do not touch or touch abnormally?

woman with staight teeth smiling